Our Patients’ Smile Transformations
Your smile is often the first thing people see, and Lake Hills Dental wants to help you make a great first impression. This smile gallery features just a few examples of the smile transformations that have come from our office.
Nothing you wear is more important than your smile.
Ready to transform your smile? Contact our office and schedule a consultation with our team today.

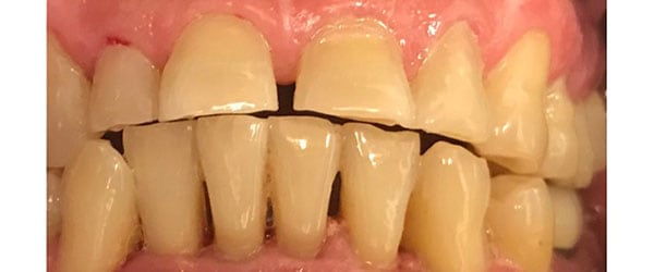
Before

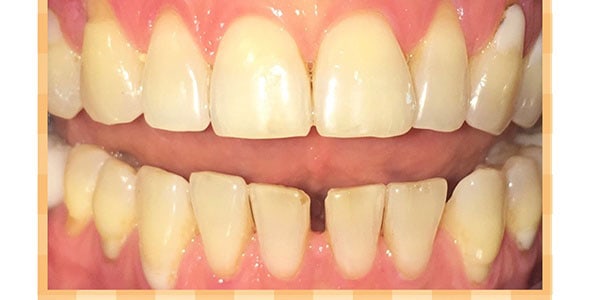
After

Before

After

Before

After

Before

After

Before

After

Before

After
Discover Nearby Dental Care
Address:
2110 Algonquin Road
Lake in the Hills, IL 60156
Phone:
(847) 854-0525
Fax:
Hours
Monday: 9:00 AM - 6:00 PM
Tuesday: By Appointment Only
Wednesday: 9:00 AM - 6:00 PM
Thursday: 9:00 AM - 6:00 PM
Friday: 9:00 AM - 2:00 PM
Saturday: 8:00 AM - 1:00 PM
Sunday: Closed
contact@dentistlakehills.com
Address:
2110 Algonquin Road
Lake in the Hills, IL 60156
Phone:
(847) 854-0525
Hours
Monday: 9:00 AM - 6:00 PM
Tuesday: 9:00 AM - 6:00 PM
Wednesday: 9:00 AM - 6:00 PM
Thursday: 9:00 AM - 6:00 PM
Friday: 9:00 AM - 2:00 PM
Saturday: 8:00 AM - 1:00 PM
Sunday: Closed
Contact Us Today for an Appointment
Don’t wait, schedule your appointment with our friendly dental team today and keep your smile healthy and bright.


